630 S Fairmont Ave, Suite D, Lodi, CA 95240















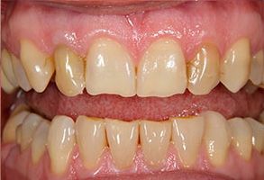
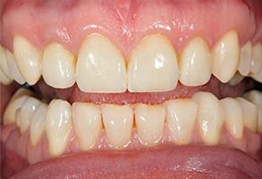
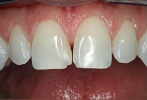
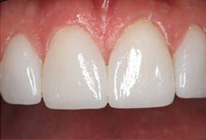
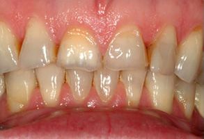
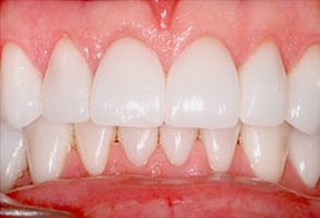
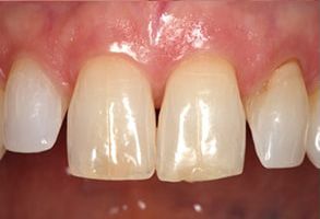
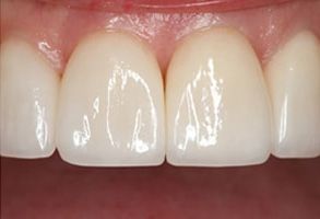
We believe everyone deserves to experience the confidence and joy that comes with good oral health. That's why we're dedicated to providing personalized dental care that meets your unique needs and goals. When you choose our practice, you can trust us to listen carefully, understand your concerns, and create a treatment plan that exceeds your expectations.